
Il Professor Amerio nasce a Torino il 6 maggio 1918, dove si laurea nel 1942. Compie i suoi studi presso...
Il 14 Agosto 2017 è venuto a mancare prematuramente Rino Cuzzola, un caro amico e collega, una vita dedicata alla...
Canosa di Puglia (BT) – 11 novembre 2017 PROGRAMMA
20 settembre – 21 dicembre 2018 – Foggia
INTEGRAZIONE OSPEDALE – TERRITORIO: GESTIONE DEL PAZIENTE CON INSUFFICIENZA RENALE CRONICA IN TERAPIA DIALITICA SOSTITUTIVA 16 GIUGNO 2018 scarica scheda...
Bari, 5 giugno 2018 Aula Federico Vecchio AOU Policlinico
Scarica programma Regolamento
Aula Didattica “Luigi Cardia” S.C. Oculistica Azienda Osp. Univ “OO.RR.” Foggia (FG) 18 MAG – 14 DIC 2017
Matera 9 – 10 novembre 2018 – Hotel Palazzo Viceconte Per iscrizioni: Prisco Provider Eventi convegni@priscoprovider.it +39 0835 330413 +39...
Care Colleghe, cari Colleghi, vi scrivo in qualità di Presidente dell’Associazione Nefrologica Gabriella Sebastio. Detta Associazione fu da da me...
ACQUAVIVA DELLE FONTI (BA), 4 MAGGIO 2017
Bari, 14 Aprile 2018
Bari, 26-27 marzo 2018 Scarica brochure Scarica scheda iscrizione
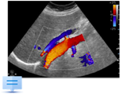
L’ECOGRAFIA NELLA VALUTAZIONE DELL’ACCESSO VASCOLARE PER DIALISI Bari – 28 e 29 novembre 2017 PROGRAMMA
Il trapianto renale rappresenta un settore in continua evoluzione ma, nonostante il trend positivo, il numero di trapianti di rene non è...
CONVEGNO REGIONALE ADI-SIN 2017 Matera (Mt) – 19 e 20 maggio 2017 HOTEL SAN DOMENICO PROGRAMMA LOCANDINA
A CURA DEL Dott. Luigi Alfonso
E’ tempo di ricambio generazionale per i nostri reparti ed i giovani spesso formatisi in molte università del Nord non hanno cognizione delle radici culturali nefrologiche del nostro territorio. Invito tuti a ripercorrere le tappe delle proprie unità operative corredendole da Filamati o foto.
Allego un esempio video che potrebbe essere seguito da foto allegate.
Distinti saluti Luigi Alfonso



Copyright © Società Italiana Nefrologia. All rights reserved.